 |
Лечение корневого канала - это лечение внутренних областей зуба, а именно той зоны, которую занимает пульпа - нервная ткань зуба. В просторечье пульпа зуба называется "нервом". Пульпа состоит из кровеносных, лимфатических сосудов, нервов и рыхлой соединительной ткани.
Что такое корневой канал?
Анатомически зуб состоит из коронки и корня. Коронка зуба - та часть, которая находится над десной, а корень находится в толще кости челюсти. Сосудисто-нервный пучок входит в зуб у самой верхушки его корня или корней. От точки входа нерва к пульпарной камере (полость, которая находится в центре зуба) по всей длине зуба, идут узкие каналы - это и есть корневые каналы зуба.
ЗАЧЕМ ЛЕЧИТЬ КОРНЕВЫЕ КАНАЛЫ?
Пульпа (нерв), как и любой орган, в ответ на раздражение реагирует воспалением.
Главной причиной возникновения воспаления нервной ткани зуба является кариозное поражение. При прогрессировании кариозного процесса и разрушении эмали, бактерии проникают в дентин. Глубокое кариозное повреждение, достигающее дентина, предоставляет возможность бактериям проникать в пульпу зуба и вызывать воспаление пульпы. Попадая внутрь зуба, бактерии начинают активно размножаться. Это нарушает нормальную жизнедеятельность зуба и причиняет его обладателю неприятные ощущения или боль. Сам организм не может решить эту проблему, поскольку бактерии разрушают не только зуб, но и уничтожают систему его защиты: кровеносные сосуды уже не в состоянии доставлять в очаг поражения специальные защитные клетки, умеющие бороться с инфекцией. От такого больного нерва нужно избавляться.
Цели лечения корневого канала
Эндодонтическая терапия - это в значительной степени процедура очистки корневых каналов (та часть, которую первоначально занимала нервная ткань). Очистка корневых каналов производится для того, чтобы устранить накапливавшиеся в нем бактерии. При этом достигаются три цели:
1. устранение бактерий, скопившихся внутри зуба;

2. удаляются нервная ткань и все другие органические отходы, которые служат для бактерий благоприятной средой;

3. заполняется и пломбируется пространство зубного нерва, так что бактериям не остается места для существования.
Какие зубы нуждаются в эндодонтической терапии
Для того чтобы определить, нуждается ли зуб в эндодонтической терапии (лечение корневого канала) стоматолог тщательно обследует зубы. Основываясь на клинические и рентгенологические данные обследования, решается вопрос о необходимости эндодонтической терапии.
Существует немало ситуаций, для которых наиболее альтернативным является лечение корневых каналов.
Основными показаниями проведения лечения корневых каналов являются следующие ситуации.
- воспаление пульпы зуба. Воспаление пульпы зуба в стоматологии называется пульпитом. Основными симптомами пульпита являются: неоднократная болезненность зуба, ночные самопроизвольные боли;
- врач начинает лечить кариес и уже в процессе лечения обнаруживает, что зуб поврежден насколько глубоко, нервная ткань инфицирована.
- наличие чувствительности, распухания, изменение цвета десны вблизи зуба;

- некроз (омертвление) тканей пульпы зуба. Некроз тканей пульпы протекает бессимптомно. О такой ситуации пациент не догадывается, т.к. зуб не болел, изменений десны вблизи зуба не было. Из-за этого зубы, нуждающиеся в лечении корневых каналов, могут оставаться незамеченными даже на несколько лет. Хотя, такие зубы стоматолог может обнаружить с помощью рентгена. В наиболее явных случаях на рентгеновском снимке обнаруживается темное пятно у верхушки корня зуба. Это темное пятно указывает на то, что вокруг верхушки корня образовалась полость в результате возникшей внутри зуба инфекции;
- периодически или постоянно возникающие образования на деснах.

Иногда на деснах вблизи зубов появляются, напоминающие вид прыщей, новообразования. В стоматологии эти образования называются свищевыми ходами. Эти образования сами по себе могут появляться и исчезать, меняться в размерах. Такое состояние наиболее часто обнаруживаются вблизи зуба, в котором омертвел нерв, т.е. заболевание проходит бессимптомно. По этим свищевым ходам происходит отток гноя из инфицированного зуба, что и приводит к появлению неприятного вкуса во рту;
- зубы, поврежденные при несчастном случае. Состояние пульпы зубов, поврежденных в результате несчастного случая (травма, автокатастрофа и т.д.) может ухудшиться, и возникает необходимость в лечении корневых каналов. Однако такие состояния чаще всего происходят бессимптомно, и опять нам на помощь приходит рентген. Такое бессимптомное состояние может длиться годами. Если зуб начинает темнеть - это один из признаков того, что в нем происходят разрушительные процессы (некроз пульпы зуба).
Поэтому, чем раньше начать лечение корневых каналов, тем больше будут возможности избавиться в дальнейшем от неприятных осложнений.
Зуб, который нуждается в лечении корневого канала, но до сих пор не вылеченный, может доставить пациенту неожиданные неприятности. Он может долгое время не проявлять никаких симптомов, или явить все признаки острого воспаления:
- боль, распухание десен и т.д. Даже при отсутствии симптомов воспаления, инфекция может серьезно повредить кость, окружающую зуб, и вы можете потерять зуб.
Этапы эндодонтической терапии
Эндодонтическая терапия состоит из следующих этапов: обезболивание, изолирование зуба от ротовой жидкости, обеспечение доступа к области пульпы, очистка корневых каналов, пломбирование корневых каналов.
Обезболивание зуба
Процедура лечения корневых каналов пользовалась неважной репутацией как очень болезненная. Но это совершенно не верно, т.к. в современной стоматологии существует понятие "лечение без боли", которое вполне оправдывает себя. Лечение корневых каналов - процедура совершенно безболезненная, ничем не отличающаяся от пломбирования зуба.
Перед началом лечения корневых каналов делается обезболивание. Для того, чтобы во время обезболивания пациент не испытывал дискомфорт, связанный с уколом, распространением обезболивающего раствора (анестетик), на место введения иглы намазывается гель анестетика высокой концентрации. И проникновение иглы в слизистую пациент никогда не чувствует, т.е. обезболивается сам процесс обезболивания.
Обеспечение доступа к области корневых каналов
Прежде чем начать очистку корневых каналов, стоматолог должен обеспечить хороший доступ к корневым каналам. Для получения хорошего доступа к области пульпы стоматологическим бором создается прямая полость, ведущая к корневым каналам. У молодых пациентов доступ получается большим, потому что у них пульпарная камера большая. А зубы пожилых пациентов имеют меньшую полость зуба, поэтому требуется меньшее ее препарирования.

Доступ на передних зубах делается на их задней стороне, на задних зубах - на жевательной поверхности.
Препарирование (очистка) корневых каналов
Очистка корневых каналов включает в себя механическую и медикаментозную обработку (мы знаем, что в корневых каналах скапливается много бактерий). На этапе очистки корневых каналов важным является удаление бактерий, пульпарной ткани, которая может быть некротизирована (умершая) и инфицирована.

Механическая обработка корневых каналов осуществляется специальными инструментами, которые в стоматологии называются файлами.

Эти инструменты очень похожи на прямые иглы, они имеют определенную длину, размер, конусность, шероховатую поверхность, напоминающую пилу. Стоматолог обрабатывает корневые каналы набором этих файлов, осуществляя движения вверх-вниз по каналам зуба, одновременно совершая ими вращательные движения.
 
Медикаментозную дезинфекцию стоматолог осуществляет орошением каналов специальными одноразовыми иглами.
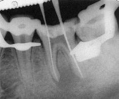
Обработка файлами производится по всей длине корневого канала до самой верхушки корня, а не далее верхушки. Главным этапом в обработке корневых каналов является определение их длины. Для этого, стоматолог сначала вставляет в каналы файлы и делает рентгеновский снимок, по которому и определяется длина корневых каналов.

После тщательной очистки корневых каналов, стоматолог может приступить к пломбированию каналов. Иногда бывают случаи, когда рекомендуется делать недельный интервал перед окончательным пломбированием корневых каналов. В этом случае стоматолог ставит временную пломбу, чтобы за эту неделю в канал не попала инфекция.
Пломбирование корневых каналов
Успех пломбирования корневых каналов в значительной степени определяется качеством выполнения предыдущих эндодонтических манипуляций, и в основном, обуславливает исход проводимого лечения.
Основным требованием этого этапа является надежность герметизации корневых каналов. Перед пломбированием каналы высушиваются бумажными штифтами.
Для заполнения корневых каналов используют гуттаперчу и пасту. Гуттаперча - резиновый материал, который производится в виде конусов, размер и форма гуттаперчи соответствуют форме и размеру файлов, при помощи которых вычищают корневые каналы.

Конусы из гуттаперчи покрываются пастой и вводятся в корневые каналы зуба. Для получения хорошей герметизации, в корневые каналы вводятся еще несколько конусов.

После пломбирования корневых каналов, стоматолог ставит временную пломбу на отверстие, которое было сделано для достижения в области корневых каналов.

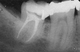
Канал должен быть запломбирован до верхушки и без пустот и дефектов.
 
После всего этого назначается следующий визит, во время которого стоматолог ставит постоянную пломбу.
Восстановление зубов после эндодонтической терапии
После окончания лечения корневых каналов, стоматолог решает вопрос восстановления зуба. Восстановление зубов после эндодонтической терапии осуществляется несколькими путями: пломбирование композитными материалами (подходящие под цвет зуба), пломбирование композитными материалами с помощью штифтов, использование коронок.
Дело в том, что во многих случаях в процессе эндодонтической терапии зуб лишается довольно значительных объемов зубных тканей. Это происходит за счет большой старой пломбы, из-за обширного кариеса или поломки части коронки и т.д. Зубы в таком состоянии становятся не прочными, и стоматологу предстоит решить вопрос адекватного восстановления зубов.
Вопрос восстановления тех зубов, которые в значительном объеме лишились твердых тканей, решается с помощью корневых штифтов.
Корневые штифты
Корневые штифты (в стоматологии известные под названием анкерные штифты) - это стержни, изготовленные из титана. Они устанавливаются и закрепляются только в те зубы, которые в значительном объеме лишились твердых тканей.

Для установки штифта стоматолог удаляет немного гуттаперчи (которым был заполнен корневой канал) для получения места помещения штифта. Затем штифт фиксируется цементом в корневом канале, после чего на его верхней части накладывается пломбировочный материал для восстановления анатомической формы зуба. Таким образом, использование штифтов упрочняет зуб, лишенный большого объема твердых тканей. Иногда бывают такие ситуации, что только штифтом и пломбировочным материалом невозможно достичь адекватной прочности. В таких случаях, для достижения хорошей прочности, на зуб надеваются искусственные коронки.
Зубные коронки
После установки штифтов в корневом канале, на его верхнюю часть накладывается пломбировочный материал. С помощью пломбировочного материала увеличивается объем основы, на которую надевается коронка.

Зубные коронки - вид стоматологической реставрации, полностью покрывающей зуб, к которому она прикрепляется с помощью цемента. Зубные коронки накрывают ту часть зуба, которая находится над десной. Коронки делают из фарфора, золота или других металлических материалов, либо комбинируют фарфор и металлический материал. С помощью зубных коронок можно восстанавливать первоначальную форму зуба, укрепить зуб, улучшить внешний вид.
Укрепляющей способностью коронка обладает по той причине, что полностью покрывает зуб, тем самым как бы "связывая"его вместе. Для укрепления поврежденного зуба коронка - одно из самых главных средств, используемых в стоматологии.
|