Имплантация зубов является одним из
самых нужных разделов современной стоматологии.
Благодаря
разнообразным методикам имплантации зубов мы можем избавиться
от съемных протезов, или же для восстановления одного или
нескольких зубов не обтачивать соседние.
 Имплантация зубов. Разделы. Читайте более подробно.
Имплантация
зубов при восстановлении одного отсутствующего
зуба
Имплантация
зубов при восстановлении нескольких отсутствующих
зубов
Имплантация
зубов при беззубой челюсти
Немедленная
(одномоментная)имплантация зубов
Уникальная
технология имплантации зубов all on four (все на
четырех)
Имплантат состоит из двух частей:
самого импланта, который вводится в костную ткань челюсти и
абатмента.

1.
имплантат
2. абатмент
3. искусственная коронка
Абатмент – это фиксированная к
импланту структура, к которой в свою очередь прикрепляется
коронка, несущая конструкцию протеза или сам протез.
Имплантаты устанавливаются в стоматологическом кабинете,
под местной анестезией (обезболивание). Операция установки
имплантата безболезненная. Зубные импланты вводятся в костную
ткань вместо потерянного зуба и остаются на ближайшие 3-4
месяца или полгода. Это время необходимо для приживления
имплантата с костной тканью.
Восстановление одного отсутствующего зуба
имплантатом.
Потеря
одного зуба. Восстановление отсутствующего зуба
имплантатом.
При отсутствии одного зуба
идеальным вариантом является установка
имплантата.
Рисунок до установки
имплантата.
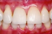
В
данном случае отсутствующий зуб восстановлен имплантатом. На
имплантат установлена коронка.
Восстановление зубной
дуги.
Отличный эстетический
результат.
Долговечность, стабильность
конструкции.


Этапы установки имплантатов.
На иллюстрациях рассмотрим
поэтапную установку имплантата.
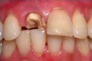
 1.
Отсутствие одного зуба на верхней челюсти.
Первый этап
– обследование. Делаются рентгеновские снимки, оценивается
область имплантации.
 2.
Установка имплантата.
В место отсутствующего зуба
формируется в кости ложе, устанавливается имплантат.
 3.
Изготовление коронки на имплантат.
С имплантата
снимается слепок, по слепкам изготавливается
коронка.
 4.
Фиксация коронки на имплантат.
Варианты восстановления отсутствующего зуба.
Изготовление
моста. Для восстановления одного отсутствующего зуба
традиционно применяются мостовидные протезы. Для изготовления
1. Необходимо обтачивать соседние зубы.
2.
Опорные зубы со временем могут испортиться и расшататься
вследствие нагрузки.
3. Из соображения сохранения
костной ткани, применение мостов ограничено.
Дело в
том, что после удаления зуба кость, которая удерживала зуб,
остается без нагрузки, т.е. не функционирует. Это приводит к
ее рассасыванию и атрофии (опускается десна).
Поэтому
из этих соображений предпочтение отдается имплантатам, т.к.
имплантат функционирует сам и позволяет функционировать
удерживающей его кости.
Имплантация зубов позволяет
избежать обтачивания соседних зубов. В место отсутствующего
зуба устанавливается одиночный имплантат (без повреждения
соседних зубов), и на имплантат изготавливается одиночная
коронка.
Частичный
съемный протез. Частичные съемные протезы
неэстетичные, занимают много места в полости рта, при
жевательной нагрузке разрушаются или становятся подвижными
опорные зубы, под базисом протеза забиваются остатки пищи,
часто протезы ломаются и т.д.
Имплантация зубов решит
эту проблему очень легко. Устанавливаются имплантаты и на них
коронки.
Восстановление подряд нескольких отсутствующих зубов
имплантатами.

Восстановление
подряд отсутствующих зубов возможно только двумя
способами:
- изготовление частичного съемного протеза
- установка имплантатов, изготовление моста на
имплантах.
Во избежание изготовления частичного
съемного протеза, в таких клинических случаях имплантация
зубов является имплантация зубов.
Преимущества
имплантации зубов в данном случае:
- Несъемная конструкция.
- Удобство, комфорт.
- Эстетически хороший результат.
Этапы лечения. Установка двух имплантатов, изготовление
мостовидного протеза.
 1.
Отсутствие трех подряд стоящих зубов на нижней
челюсти.
Первый этап – обследование. Делаются
рентгеновские снимки, оценивается область имплантации.
 2.
Установка двух имплантатов.
В место отсутствующих зубов
формируются в кости ложе, устанавливаются имплантаты.
 3.
Изготовление
моста на имплантаты.
С имплантатов
снимаются слепки, по слепкам изготавливается мостовидный
протез.
 4.
Фиксация мостовидного протеза на имплантатах.
Изготовление частичного съемного протеза.
Частичный
съемный протез. Частичные съемные протезы
неэстетичные, занимают много места в полости рта, при
жевательной нагрузке разрушаются или становятся подвижными
опорные зубы, под базисом протеза забиваются остатки пищи,
часто протезы ломаются и т.д.
Имплантация зубов решит
эту проблему очень легко. Устанавливаются имплантаты и на них
коронки.
 Наверху
Вы видите частичный съемный протез с металлическими кламмерами
(крючки) на опорные зубы. Правда – неэстетично.
Вид
после замены частичного съемного протеза на мостовидный протез
на имплантатах.
Разница – существенная.
Немедленная (одномоментная) имплантация зубов.
Что это такое, какие
преимущества?
Теперь уже одна
процедура вместо трех!
Благодаря
современным технологиям стоматологии немедленная
(одномоментная) имплантация зубов стала повседневной работой
современного врача-имплантолога.
Немедленная
имплантация – это уникальная возможность установки
имплантата и сразу же протезирования (изготовлении временной
коронки на имплантат) за один день. Т.е. за одно
посещение устанавливается имплантат, на имплантат
фиксируется абатмент, и устанавливается временная коронка по
цвету зубов.
Через 3-6 месяцев (после полного
приживления имплантата с костной тканью) временная коронка
меняется на постоянную.
Для полного понимания сути одномоментной имплантации, на иллюстрациях рассмотрим
технологию классической имплантации зубов. Классическая
технология имплантации зубов состоит из трех этапов.
 Исходная
ситуация, отсутствие одного зуба.
 1.
Установка имплантата.
В место отсутствующего зуба
формируется в кости ложе, устанавливается имплантат.
 2.
Установка абатмента на имплантат, изготовление
коронки.
Через 3-6 месяцев после установки имплантата, С
него снимается слепок, по слепкам изготавливается коронка.
 3.
Фиксация коронки на имплантат.
Превосходный эстетический
результат.
- Установка имплантата. После установки имплантата
существует период приживления, который длится на верхней
челюсти 6 месяцев, на нижней – 3 мес. Только после этого
периода времени устанавливается абатмент.
- Установка абатмента (наддесневая часть имплантата) и
изготовление коронки. После установки имплантата через 3-6
месяцев устанавливается абатмент (связывающее звено между
имплантатом и коронкой) и снимаются слепки для изготовления
коронки.
- Фиксация постоянной коронки. Через 2 недели после снятия
слепков постоянная коронка фиксируется на
имплантат.
Итого, при классической имплантации
восстановление отсутствующего зуба занимает шесть месяцев +
две-три недели.
Благодаря новой технологии
одномоментной имплантации сразу же после установки имплантата,
устанавливается абатмент и временная коронка.
Преимущества одномоментной имплантации.
- Удобство, комфорт. Одна манипуляция вместо трех.
- Значительное уменьшение травматизма.
- Лучший эстетический результат. Временная коронка
подбирается под цвет соседних зубов. Контуры десны
сохраняются.
- Сокращаются сроки восстановления отсутствующего
зуба.
Уникальная технология имплантации зубов all on four (все
на четырех).
Технология ALL ON 4 (ВСЕ НА ЧЕТЫРЕХ) позволяет
восстанавливать полностью беззубую челюсть четырьмя
имплантатами и несъемной конструкцией.
На полностью
беззубой челюсти устанавливаются четыре имплантата (два в
переднем отделе челюсти, два - в заднем). На имплантатах
устанавливается
металлокерамический или металлокомпозитный
мост.

Несъемный
протез ALL ON 4 состоит из 12 коронок, т.е.
полноценный зубной ряд полностью пригодный для жевания. (от
левого первого моляра до правого первого моляра).
Уникальность метода all on four заключается в
отсутствии необходимости проведения дополнительных манипуляций
по увеличению объема кости (синус-лифтинг, латерализация
нижнечелюстного нерва)
В отличие от традиционной техники,
которая предполагает установку минимум шести имплантатов, а
иногда и все двенадцать, система all on four решает
задачу, используя максимальный объем сохранившейся костной
ткани и применением четырех опор (импланты).
Это позволяет
изготовить на эти опоры (импланты) в течение недели временную
несъемную конструкцию, полностью восстанавливающую
эстетическую и жевательную функции. А при применении
компьютерных технологий пациент уходит с зубами в этот же
день.
А через 3-6 месяцев изготавливается постоянная
конструкция. |