 |
Безметалловые керамические системы – новейшее достижение в современной стоматологической практике. С помощью безметалловой керамики можно изготавливать коронки, вкладки, виниры, обеспечивая превосходную эстетику.
В настоящее время керамика – единственный имеющийся в наличии материал, который позволяет имитировать натуральные твердые ткани зуба. В то же время, по причине ее крайне низкого коэффициента коррозии, керамика биологически безвредна, не вызывает аллергических реакций, позволяет достигнуть хорошего функционального и эстетического результата.
|

|
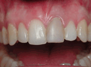
до |
после изготовления безметалловой коронки |
Потрясающие эстетические свойства. Воссоздание «живого» цвета коронок.
Безметалловые коронки имеют натуральный цвет. Безметалловая керамика имеет идеальный оптический светоотражающий эффект сходный с эмалью зуба.
Одно из самых главных свойств эмали зуба – прозрачность.
Это значит, что при попадании света на поверхность эмали, он не сразу отражается, а частично проникает вглубь эмалевого слоя. Затем этот свет отражается от непрозрачного слоя зубной ткани, находящейся под эмалью (дентин). Эта прозрачность эмали придает зубу характерный внешний вид. При восстановлении зубов металлокерамическими коронками не обеспечивается прозрачность.
На иллюстрации слева безметалловая керамическая коронка, справа металлокерамическая.
При металлокерамических коронках лучи света не могут проникнуть в зубные ткани глубоко, т.к. металлокерамическая коронка имеет изнутри металлический каркас, и сразу отражаются от поверхности металлокерамической коронки. Таким образом, металлокерамические коронки не обеспечивают полного сходства с натуральным зубом, а лишь улучшают внешний вид зуба.
Свет, падающий на поверхность безметалловой керамической коронки, может проникнуть на определенную глубину внутрь керамики, а затем отражаться от зубных тканей. Поэтому, безметалловые керамические коронки ничем не отличается от соседних зубов.
  
2. Безметалловая керамика имеет высокую цветостойкость, не окрашивается, не меняет цвет.
3. На безметалловой керамической коронке отсутствует темная полоса на границе десна и коронка, т.к. в безметалловой керамике нет металлического каркаса. Эти темные полосы нередко увидишь при восстановлении зубов металлокерамическими коронками.
4. Безметалловая керамическая коронка имеет идеальное краевое прилегание.
5. Отсутствие раздражения десны.
|